
技术特点:
Ø 明场、荧光双独立光路,支持40层样本扫描
Ø 延伸聚焦/ Z stack功能,可编辑每层图像或单个通道
Ø 2.5X-100X全倍率物镜扫描
Ø 兼容2倍-8倍不同(超大)尺寸玻片
Ø AI自学习可进化的对焦算法管理支持油镜
Ø 整合人类蛋白质组研究策略数据库
Ø 智能TMA block扫描识别功能
Ø IF-IHC图像互相转换功能
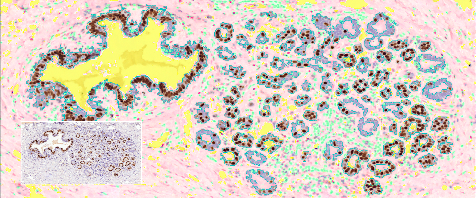
TissueFAXS系统将流式散点图分析技术与图像原位信息相结合,既获得了精确单细胞级别的定量数据,更深度结合组织原位的位置信息,可进行组织结构定量、组织区域筛分定量、目标蛋白或靶细胞在组织中的分布情况等定量分析,不仅提供了更全面的分析数据,也为未来的研究提出了新的解决思路和研究方向。
TissueFAXS组织原位单细胞空间表型验证定量系统结合了流式散点图分析与图像原位信息,提供单细胞级别定量数据及组织结构定量分析,支持明场和荧光双独立光路,具备Z-stack扫描和全倍率物镜扫描等功能,兼容多种玻片尺寸,具有AI自学习对焦算法和智能TMA block扫描识别功能。该系统还支持IF-IHC图像互相转换,自动识别细胞核/质/膜染色通道,并能识别上皮细胞/间质区域等结构,可用于HE染色样本的细胞-组织结构识别,提高样本分析效率和精度。同时,它具备正反向回溯功能,确保数据分析的准确性,支持细胞群圈选统计和细胞表型原位共表达分析。